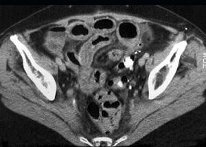
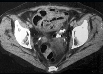
女,54岁,直肠癌放疗后一月,阵发性腹痛腹胀,呕吐应,CT表现如图,应诊断为 ( )A.小肠淋巴瘤B.小肠结核C.小肠Crohn病...

作者: rantiku 人气: - 评论: 0
问题 女,54岁,直肠癌放疗后一月,阵发性腹痛腹胀,呕吐应,CT表现如图,应诊断为 ( )
选项 A.小肠淋巴瘤 B.小肠结核 C.小肠Crohn病 D.放射性小肠炎 E.肠易激综合征
答案 D
解析

猜你喜欢

发表评论
更多 网友评论0 条评论)
暂无评论

访问排行

Copyright © 2012-2014 恰考网 Inc. 保留所有权利。 Powered by tikuer.com

页面耗时0.0322秒, 内存占用1.03 MB, Cache:redis,访问数据库19次