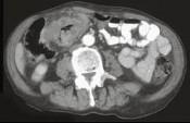
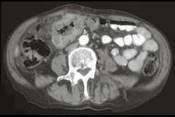
男,45岁,右下腹胀痛、并可触及质硬包块,请结合图像选择最可能诊断 ( )A.结肠Crohn氏病B.结肠癌C.肠结核D.结肠淋巴瘤...

作者: rantiku 人气: - 评论: 0
问题 男,45岁,右下腹胀痛、并可触及质硬包块,请结合图像选择最可能诊断 ( )
选项 A.结肠Crohn氏病 B.结肠癌 C.肠结核 D.结肠淋巴瘤 E.慢性溃疡性结肠炎
答案 B
解析

猜你喜欢

发表评论
更多 网友评论0 条评论)
暂无评论

访问排行

Copyright © 2012-2014 恰考网 Inc. 保留所有权利。 Powered by tikuer.com

页面耗时0.0427秒, 内存占用1.03 MB, Cache:redis,访问数据库20次