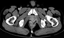
男,28岁,高热,肛门坠胀,频有便意,直肠指诊时触及直肠粘膜下饱满,柔软,压痛的肿块,CT检查如图,诊断为 ( )A.直肠癌B.直肠炎性息...

作者: rantiku 人气: - 评论: 0
问题 男,28岁,高热,肛门坠胀,频有便意,直肠指诊时触及直肠粘膜下饱满,柔软,压痛的肿块,CT检查如图,诊断为 ( )
选项 A.直肠癌 B.直肠炎性息肉 C.直肠粘膜下脓肿 D.直肠绒毛状腺瘤 E.直肠粘膜下瘘
答案 C
解析

猜你喜欢

发表评论
更多 网友评论0 条评论)
暂无评论

访问排行

Copyright © 2012-2014 恰考网 Inc. 保留所有权利。 Powered by tikuer.com

页面耗时0.0293秒, 内存占用1.03 MB, Cache:redis,访问数据库19次