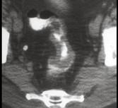
男,53岁,便秘、血便,大便变细,CT如图,应考虑为 ( )A.肠Crohn病B.直肠结核C.溃疡型直肠癌D.慢性溃疡性结肠炎E....

作者: rantiku 人气: - 评论: 0
问题 男,53岁,便秘、血便,大便变细,CT如图,应考虑为 ( )
选项 A.肠Crohn病 B.直肠结核 C.溃疡型直肠癌 D.慢性溃疡性结肠炎 E.直肠淋巴瘤
答案 C
解析

猜你喜欢

发表评论
更多 网友评论0 条评论)
暂无评论

访问排行

Copyright © 2012-2014 恰考网 Inc. 保留所有权利。 Powered by tikuer.com

页面耗时0.0310秒, 内存占用1.03 MB, Cache:redis,访问数据库17次