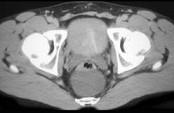
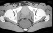
男,21岁,下腹部一囊性肿块,无压痛,请结合图像,选择最可能诊断 ( )A.盆腔脓肿B.结肠重复畸形囊肿C.神经纤维瘤D.神经鞘瘤...

作者: rantiku 人气: - 评论: 0
问题 男,21岁,下腹部一囊性肿块,无压痛,请结合图像,选择最可能诊断 ( )
选项 A.盆腔脓肿 B.结肠重复畸形囊肿 C.神经纤维瘤 D.神经鞘瘤 E.间质瘤
答案 B
解析

猜你喜欢

发表评论
更多 网友评论0 条评论)
暂无评论

访问排行

Copyright © 2012-2014 恰考网 Inc. 保留所有权利。 Powered by tikuer.com

页面耗时0.0346秒, 内存占用1.03 MB, Cache:redis,访问数据库19次