男,51岁,直肠癌术后一年,腹胀,纳差,消瘦,影像检查如图,最可能的诊断是 ( )A.直肠癌肝转移B.直肠癌网膜转移C.肝硬化腹水D....

作者: rantiku 人气: - 评论: 0
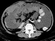
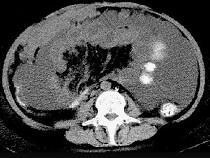
问题 男,51岁,直肠癌术后一年,腹胀,纳差,消瘦,影像检查如图,最可能的诊断是 ( )
选项 A.直肠癌肝转移 B.直肠癌网膜转移 C.肝硬化腹水 D.术后改变 E.肠梗阻
答案 B
解析

猜你喜欢

发表评论
更多 网友评论0 条评论)
暂无评论

访问排行

Copyright © 2012-2014 恰考网 Inc. 保留所有权利。 Powered by tikuer.com

页面耗时0.0329秒, 内存占用1.03 MB, Cache:redis,访问数据库18次