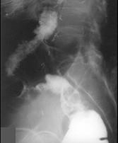
女,50岁,便血10余年,加重1年(连续出血),近2个月大便时肛门常滴鲜血,量较多,X线检查如图,最可能的诊断是 ( )A.直肠癌B.直肠绒毛...

作者: rantiku 人气: - 评论: 0
问题 女,50岁,便血10余年,加重1年(连续出血),近2个月大便时肛门常滴鲜血,量较多,X线检查如图,最可能的诊断是 ( )
选项 A.直肠癌 B.直肠绒毛状腺瘤 C.直肠淋巴瘤 D.直肠转移瘤 E.直肠结核
答案 B
解析

猜你喜欢

发表评论
更多 网友评论0 条评论)
暂无评论

访问排行

Copyright © 2012-2014 恰考网 Inc. 保留所有权利。 Powered by tikuer.com

页面耗时0.0434秒, 内存占用1.03 MB, Cache:redis,访问数据库19次