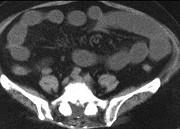
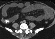
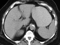
男,30岁,有胆结石病史,近日腹痛、腹胀,CT检查如图,应诊断为 ( )A.胆石症B.胆石性肠梗阻C.肠结核D.小肠克罗恩病E...

作者: rantiku 人气: - 评论: 0
问题 男,30岁,有胆结石病史,近日腹痛、腹胀,CT检查如图,应诊断为 ( )
选项 A.胆石症 B.胆石性肠梗阻 C.肠结核 D.小肠克罗恩病 E.小肠淋巴瘤
答案 B
解析

猜你喜欢

发表评论
更多 网友评论0 条评论)
暂无评论

访问排行

Copyright © 2012-2014 恰考网 Inc. 保留所有权利。 Powered by tikuer.com

页面耗时0.0325秒, 内存占用1.03 MB, Cache:redis,访问数据库20次