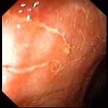
男性,32岁,反复解黏液脓血便2年,查体:轻度贫血貌,心肺腹未见异常,大便常规示红细胞(++),白细胞(++),内镜图片如下,诊断 ( )A.直肠...

作者: rantiku 人气: - 评论: 0
问题 男性,32岁,反复解黏液脓血便2年,查体:轻度贫血貌,心肺腹未见异常,大便常规示红细胞(++),白细胞(++),内镜图片如下,诊断 ( )
选项 A.直肠炎 B.放射性肠炎 C.慢性结肠炎 D.溃疡性直肠炎 E.直肠癌
答案 D
解析

猜你喜欢

发表评论
更多 网友评论0 条评论)
暂无评论

访问排行

Copyright © 2012-2014 恰考网 Inc. 保留所有权利。 Powered by tikuer.com

页面耗时0.0395秒, 内存占用1.03 MB, Cache:redis,访问数据库19次