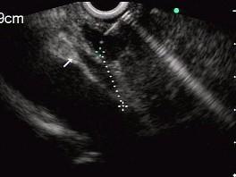
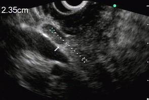
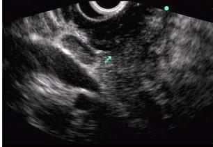
男性,50岁,上腹隐痛,食欲不振3个月。1个月来出现黄疸且进行性加深,体重明显减轻,查体全身明显黄染,肝未触及,深吸气时可触到肿大胆囊底部,无触痛。化验血...

作者: rantiku 人气: - 评论: 0
问题 男性,50岁,上腹隐痛,食欲不振3个月。1个月来出现黄疸且进行性加深,体重明显减轻,查体全身明显黄染,肝未触及,深吸气时可触到肿大胆囊底部,无触痛。化验血胆红素15mg/dl,尿检胆红素阳性图中胰腺病变可能的诊断是 ( )
选项 A.正常 B.胰腺囊肿 C.慢性胰腺炎 D.胰腺囊腺癌 E.胰腺癌
答案 E
解析

猜你喜欢

发表评论
更多 网友评论0 条评论)
暂无评论

访问排行

Copyright © 2012-2014 恰考网 Inc. 保留所有权利。 Powered by tikuer.com

页面耗时0.0343秒, 内存占用1.03 MB, Cache:redis,访问数据库20次