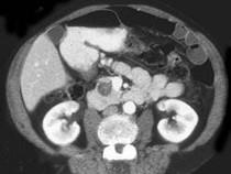
患者,女,57岁,上腹部隐痛半年余,CT片,最可能的诊断是 ( )A.胰腺癌B.胰腺脓肿C.胰腺假性囊肿D.胰腺囊腺瘤E.胰岛细胞瘤

作者: rantiku 人气: - 评论: 0
问题 患者,女,57岁,上腹部隐痛半年余,CT片,最可能的诊断是 ( )
选项 A.胰腺癌 B.胰腺脓肿 C.胰腺假性囊肿 D.胰腺囊腺瘤 E.胰岛细胞瘤
答案 D
解析

猜你喜欢

发表评论
更多 网友评论0 条评论)
暂无评论

访问排行

Copyright © 2012-2014 恰考网 Inc. 保留所有权利。 Powered by tikuer.com

页面耗时0.0517秒, 内存占用1.03 MB, Cache:redis,访问数据库20次