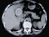
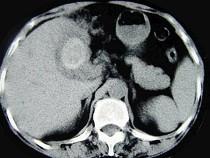
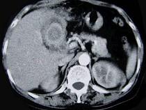
女,55岁,右上腹痛多年,CT检查如图,最可能的诊断是 ( )A.胆囊胆固醇结石B.胆囊胆红素结石C.胆囊混合性结石并胆囊炎D.胆...

作者: rantiku 人气: - 评论: 0
问题 女,55岁,右上腹痛多年,CT检查如图,最可能的诊断是 ( )
选项 A.胆囊胆固醇结石 B.胆囊胆红素结石 C.胆囊混合性结石并胆囊炎 D.胆囊癌 E.胆囊壁环状钙化
答案 C
解析

猜你喜欢

发表评论
更多 网友评论0 条评论)
暂无评论

访问排行

Copyright © 2012-2014 恰考网 Inc. 保留所有权利。 Powered by tikuer.com

页面耗时0.0666秒, 内存占用1.03 MB, Cache:redis,访问数据库18次