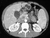
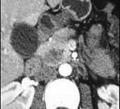
女,56岁,腹部胀痛不适、食欲减退,影像表现如下图,最佳诊断是 ( )A.急性胰腺炎B.慢性胰腺炎C.胰腺腺癌D.胰腺转移癌E.胰...

作者: rantiku 人气: - 评论: 0
问题 女,56岁,腹部胀痛不适、食欲减退,影像表现如下图,最佳诊断是 ( )
选项 A.急性胰腺炎 B.慢性胰腺炎 C.胰腺腺癌 D.胰腺转移癌 E.胰腺假性囊肿
答案 C
解析

猜你喜欢

发表评论
更多 网友评论0 条评论)
暂无评论

访问排行

Copyright © 2012-2014 恰考网 Inc. 保留所有权利。 Powered by tikuer.com

页面耗时0.0437秒, 内存占用1.03 MB, Cache:redis,访问数据库14次