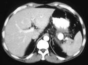
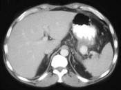
男,36岁,反复剑突下胀痛5年,加重伴间断性呕血、黑便3年,有6年慢性胰腺炎病史,CT检查如图,最可能的诊断是 ( )A.脾血管瘤伴慢性胰腺炎...

作者: rantiku 人气: - 评论: 0
问题 男,36岁,反复剑突下胀痛5年,加重伴间断性呕血、黑便3年,有6年慢性胰腺炎病史,CT检查如图,最可能的诊断是 ( )
选项 A.脾血管瘤伴慢性胰腺炎 B.脾动脉瘤伴慢性胰腺炎 C.脾假性动脉瘤伴慢性胰腺炎 D.胰腺转移瘤伴慢性胰腺炎 E.胰腺癌伴慢性胰腺炎
答案 C
解析

猜你喜欢

发表评论
更多 网友评论0 条评论)
暂无评论

访问排行

Copyright © 2012-2014 恰考网 Inc. 保留所有权利。 Powered by tikuer.com

页面耗时0.0331秒, 内存占用1.03 MB, Cache:redis,访问数据库19次