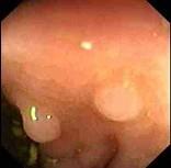
男性,46岁,有结肠癌家族史,行肠镜检查如图,诊断为 ( )A.直肠癌B.直肠炎性息肉C.直肠腺瘤样息肉D.直肠绒毛样息肉E.克罗恩病

作者: rantiku 人气: - 评论: 0
问题 男性,46岁,有结肠癌家族史,行肠镜检查如图,诊断为 ( )
选项 A.直肠癌 B.直肠炎性息肉 C.直肠腺瘤样息肉 D.直肠绒毛样息肉 E.克罗恩病
答案 B
解析

猜你喜欢

发表评论
更多 网友评论0 条评论)
暂无评论

访问排行

Copyright © 2012-2014 恰考网 Inc. 保留所有权利。 Powered by tikuer.com

页面耗时0.0586秒, 内存占用1.03 MB, Cache:redis,访问数据库19次