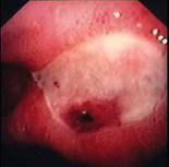
患者,男,50岁,反复上腹痛2年,加重呕血1天入院。查体:贫血貌,心肺腹未见异常。电子胃镜如图所示,目前最好的治疗方法为 ( )A.外科手...

作者: rantiku 人气: - 评论: 0
问题 患者,男,50岁,反复上腹痛2年,加重呕血1天入院。查体:贫血貌,心肺腹未见异常。电子胃镜如图所示,目前最好的治疗方法为 ( )
选项 A.外科手术治疗 B.内科静脉注射止血药 C.内镜下注射止血药 D.在DSA下行血管栓塞治疗 E.口服去甲肾上腺素
答案 C
解析

猜你喜欢

发表评论
更多 网友评论0 条评论)
暂无评论

访问排行

Copyright © 2012-2014 恰考网 Inc. 保留所有权利。 Powered by tikuer.com

页面耗时0.0408秒, 内存占用1.03 MB, Cache:redis,访问数据库20次