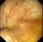
女,38岁,腹痛腹泻1年,再发2月,消瘦,无发热、盗汗、咳嗽,无粘液血便及里急后重,查体无明显阳性体征,大便常规正常,结肠镜检查如图。该患者最有可能的诊断...

作者: rantiku 人气: - 评论: 0
问题 女,38岁,腹痛腹泻1年,再发2月,消瘦,无发热、盗汗、咳嗽,无粘液血便及里急后重,查体无明显阳性体征,大便常规正常,结肠镜检查如图。该患者最有可能的诊断 ( )
选项 A.肠结核 B.溃疡性结肠炎 C.淋巴瘤 D.肠易激综合征 E.肠癌
答案 D
解析

猜你喜欢

发表评论
更多 网友评论0 条评论)
暂无评论

访问排行

Copyright © 2012-2014 恰考网 Inc. 保留所有权利。 Powered by tikuer.com

页面耗时0.0426秒, 内存占用1.03 MB, Cache:redis,访问数据库19次