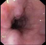
男性患者,56岁,因呕血,黑便6小时急症入院,既往有乙肝病史10余年,查体:贫血貌,颈部可见蜘蛛痣,心肺无异常,腹膨隆,移动性浊音阳性胃镜检查如图,该患者...

作者: rantiku 人气: - 评论: 0
问题 男性患者,56岁,因呕血,黑便6小时急症入院,既往有乙肝病史10余年,查体:贫血貌,颈部可见蜘蛛痣,心肺无异常,腹膨隆,移动性浊音阳性胃镜检查如图,该患者最有可能是下列哪种疾病 ( )
选项 A.食管溃疡并出血 B.食管癌并出血 C.食管损伤并出血 D.肝硬化并食管胃的静脉曲张破裂出血 E.食管贲门粘膜撕裂综合征
答案 D
解析

猜你喜欢

发表评论
更多 网友评论0 条评论)
暂无评论

访问排行

Copyright © 2012-2014 恰考网 Inc. 保留所有权利。 Powered by tikuer.com

页面耗时0.0398秒, 内存占用1.03 MB, Cache:redis,访问数据库20次