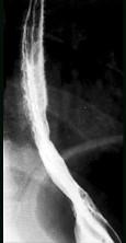
男,34岁,胸骨后烧灼痛1周,伴吞咽痛,餐后平卧时加剧,食管钡餐检查如图,应诊断为 ( )A.食管癌B.贲门失弛缓症C.反流性食管炎D...

作者: rantiku 人气: - 评论: 0
问题 男,34岁,胸骨后烧灼痛1周,伴吞咽痛,餐后平卧时加剧,食管钡餐检查如图,应诊断为 ( )
选项 A.食管癌 B.贲门失弛缓症 C.反流性食管炎 D.食管静脉曲胀 E.正常食管表现
答案 C
解析

猜你喜欢

发表评论
更多 网友评论0 条评论)
暂无评论

访问排行

Copyright © 2012-2014 恰考网 Inc. 保留所有权利。 Powered by tikuer.com

页面耗时0.0344秒, 内存占用1.03 MB, Cache:redis,访问数据库18次