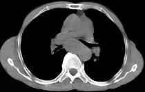
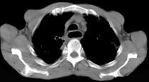
女性患者,67岁进行性吞咽困难半年,X线及CT检查如图,应诊断为 ( )A.食管癌B.食管憩室C.食管炎D.食管良性狭窄E...

作者: rantiku 人气: - 评论: 0
问题 女性患者,67岁进行性吞咽困难半年,X线及CT检查如图,应诊断为 ( )
选项 A.食管癌 B.食管憩室 C.食管炎 D.食管良性狭窄 E.食管静脉曲张
答案 A
解析

猜你喜欢

发表评论
更多 网友评论0 条评论)
暂无评论

访问排行

Copyright © 2012-2014 恰考网 Inc. 保留所有权利。 Powered by tikuer.com

页面耗时0.0439秒, 内存占用1.03 MB, Cache:redis,访问数据库20次