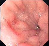
女性,28岁。间断性上腹隐痛不适1月余。发育正常,营养中等,表情自然,皮肤无黄染,腹平坦,腹肌软,全腹无压痛反跳痛,肝脾肋缘下未触及,胃镜检查如下图,诊断...

作者: rantiku 人气: - 评论: 0
问题 女性,28岁。间断性上腹隐痛不适1月余。发育正常,营养中等,表情自然,皮肤无黄染,腹平坦,腹肌软,全腹无压痛反跳痛,肝脾肋缘下未触及,胃镜检查如下图,诊断 ( )
选项 A.十二指肠血管畸形 B.十二指肠溃疡并出血 C.十二指肠球部息肉 D.十二指肠球炎 E.十二指肠克罗恩病
答案 D
解析

猜你喜欢

发表评论
更多 网友评论0 条评论)
暂无评论

访问排行

Copyright © 2012-2014 恰考网 Inc. 保留所有权利。 Powered by tikuer.com

页面耗时0.0307秒, 内存占用1.03 MB, Cache:redis,访问数据库17次