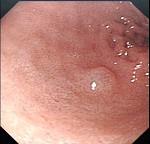
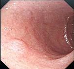
男,70岁,剑突下疼痛伴进行性咽下困难1个月,消瘦、乏力明显,粪隐血持续阳性,内镜及影像检查如下图,诊断为 ( )A.胃黄...

作者: rantiku 人气: - 评论: 0
问题 男,70岁,剑突下疼痛伴进行性咽下困难1个月,消瘦、乏力明显,粪隐血持续阳性,内镜及影像检查如下图,诊断为 ( )
选项 A.胃黄斑瘤 B.贲门息肉 C.胃溃疡 D.贲门癌 E.胃癌
答案 E
解析

猜你喜欢

发表评论
更多 网友评论0 条评论)
暂无评论

访问排行

Copyright © 2012-2014 恰考网 Inc. 保留所有权利。 Powered by tikuer.com

页面耗时0.0415秒, 内存占用1.03 MB, Cache:redis,访问数据库20次