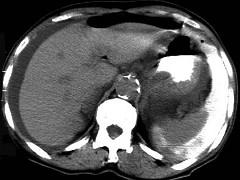
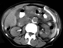
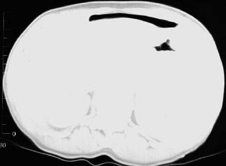
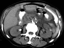
男,44岁,突然中上腹痛,压痛,反跳痛,腹肌紧张,发热,白细胞计数升高,CT检查如图,最可能诊断是 ( )A.急性胰腺炎B.慢性胰腺炎...

作者: rantiku 人气: - 评论: 0
问题 男,44岁,突然中上腹痛,压痛,反跳痛,腹肌紧张,发热,白细胞计数升高,CT检查如图,最可能诊断是 ( )
选项 A.急性胰腺炎 B.慢性胰腺炎 C.胃小弯溃疡穿孔 D.胰腺癌 E.胃癌
答案 C
解析

猜你喜欢

发表评论
更多 网友评论0 条评论)
暂无评论

访问排行

Copyright © 2012-2014 恰考网 Inc. 保留所有权利。 Powered by tikuer.com

页面耗时0.0328秒, 内存占用1.03 MB, Cache:redis,访问数据库19次