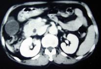
男,55岁,中上腹隐痛多年,剑突下压痛,影像检查如图,最可能的诊断是 ( )A.十二肠溃疡B.十二指肠憩室C.十二指肠癌D.十...

作者: rantiku 人气: - 评论: 0
问题 男,55岁,中上腹隐痛多年,剑突下压痛,影像检查如图,最可能的诊断是 ( )
选项 A.十二肠溃疡 B.十二指肠憩室 C.十二指肠癌 D.十二指肠重复畸形 E.十二指肠穿孔
答案 B
解析

猜你喜欢

发表评论
更多 网友评论0 条评论)
暂无评论

访问排行

Copyright © 2012-2014 恰考网 Inc. 保留所有权利。 Powered by tikuer.com

页面耗时0.0317秒, 内存占用1.03 MB, Cache:redis,访问数据库19次