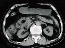
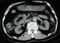
男,78岁,阵发性上腹部疼痛10年伴呕吐,加重1年,影像检查如下图,应诊断为 ( )A.十二指肠癌B.十二指肠憩室C.十二指肠淋巴...

作者: rantiku 人气: - 评论: 0
问题 男,78岁,阵发性上腹部疼痛10年伴呕吐,加重1年,影像检查如下图,应诊断为 ( )
选项 A.十二指肠癌 B.十二指肠憩室 C.十二指肠淋巴瘤 D.十二指肠结核 E.肠系膜上动脉压迫综合征
答案 B
解析

猜你喜欢

发表评论
更多 网友评论0 条评论)
暂无评论

访问排行

Copyright © 2012-2014 恰考网 Inc. 保留所有权利。 Powered by tikuer.com

页面耗时0.0361秒, 内存占用1.03 MB, Cache:redis,访问数据库19次