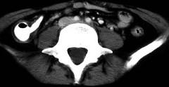
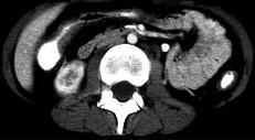
女,32岁,腹痛、腹泻、便秘交替出现,粘液血便半年,里急后重,影像检查如图,最佳的诊断是 ( )A.结肠癌B.慢性结肠炎C.过敏性结肠...

作者: rantiku 人气: - 评论: 0
问题 女,32岁,腹痛、腹泻、便秘交替出现,粘液血便半年,里急后重,影像检查如图,最佳的诊断是 ( )
选项 A.结肠癌 B.慢性结肠炎 C.过敏性结肠炎 D.溃疡性结肠炎 E.肠结核
答案 D
解析

猜你喜欢

发表评论
更多 网友评论0 条评论)
暂无评论

访问排行

Copyright © 2012-2014 恰考网 Inc. 保留所有权利。 Powered by tikuer.com

页面耗时0.0332秒, 内存占用1.03 MB, Cache:redis,访问数据库18次