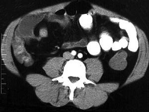
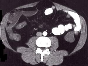
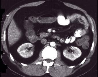
女,30岁,右下腹痛,腹泻便秘交替出现,消瘦乏力,血沉加快,X线检查如图,最佳的诊断是 ( )A.小肠癌B.小肠结核C.小肠克罗恩病 ...

作者: rantiku 人气: - 评论: 0
问题 女,30岁,右下腹痛,腹泻便秘交替出现,消瘦乏力,血沉加快,X线检查如图,最佳的诊断是 ( )
选项 A.小肠癌 B.小肠结核 C.小肠克罗恩病 D.结肠癌 E.阑尾炎
答案 C
解析
发表评论
更多 网友评论0 条评论)
暂无评论

访问排行

Copyright © 2012-2014 恰考网 Inc. 保留所有权利。 Powered by tikuer.com

页面耗时0.0445秒, 内存占用1.03 MB, Cache:redis,访问数据库20次