男,18岁,患者皮肤挫伤,用林可霉素预防感染,次日大便次数增多、出现粘液便,结合图像应考虑为 ( )A.结肠淋巴瘤B.假膜性肠炎C.结肠间...

作者: rantiku 人气: - 评论: 0
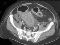
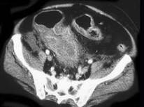
问题 男,18岁,患者皮肤挫伤,用林可霉素预防感染,次日大便次数增多、出现粘液便,结合图像应考虑为 ( )
选项 A.结肠淋巴瘤 B.假膜性肠炎 C.结肠间质瘤 D.结肠结核 E.结肠癌
答案 B
解析

猜你喜欢

发表评论
更多 网友评论0 条评论)
暂无评论

访问排行

Copyright © 2012-2014 恰考网 Inc. 保留所有权利。 Powered by tikuer.com

页面耗时0.0359秒, 内存占用1.03 MB, Cache:redis,访问数据库19次