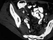
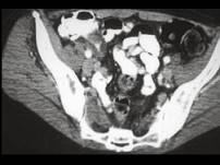
男,42岁,右下腹痛、腹胀半年,无浅表淋巴结肿大,影像检查如图,最可能的诊断是 ( )A.淋巴瘤B.结肠癌C.Crohn氏病D.肠结核...

作者: rantiku 人气: - 评论: 0
问题 男,42岁,右下腹痛、腹胀半年,无浅表淋巴结肿大,影像检查如图,最可能的诊断是 ( )
选项 A.淋巴瘤 B.结肠癌 C.Crohn氏病 D.肠结核 E.腹膜后纤维化
答案 C
解析

猜你喜欢

发表评论
更多 网友评论0 条评论)
暂无评论

访问排行

Copyright © 2012-2014 恰考网 Inc. 保留所有权利。 Powered by tikuer.com

页面耗时0.0342秒, 内存占用1.03 MB, Cache:redis,访问数据库19次