男,32岁,阵发性腹痛、腹胀,伴恶心、呕吐,腹部可触及包块,影像检查如图,最佳的诊断是什么 ( )A.小肠肿瘤B.麻痹性肠梗阻C....

作者: rantiku 人气: - 评论: 0
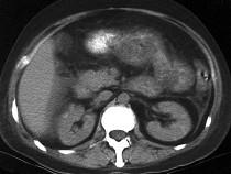
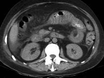
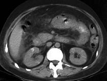
问题 男,32岁,阵发性腹痛、腹胀,伴恶心、呕吐,腹部可触及包块,影像检查如图,最佳的诊断是什么 ( )
选项 A.小肠肿瘤 B.麻痹性肠梗阻 C.空肠套叠 D.回肠套叠 E.结肠套叠
答案 C
解析

猜你喜欢

发表评论
更多 网友评论0 条评论)
暂无评论

访问排行

Copyright © 2012-2014 恰考网 Inc. 保留所有权利。 Powered by tikuer.com

页面耗时0.0419秒, 内存占用1.03 MB, Cache:redis,访问数据库20次