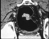
男,56岁,下腹疼痛、大便隐血阳性,结合图像应考虑为 ( )A.直肠息肉B.直肠癌C.直肠腺瘤D.直肠间质瘤E.直肠淋巴瘤

作者: rantiku 人气: - 评论: 0
问题 男,56岁,下腹疼痛、大便隐血阳性,结合图像应考虑为 ( )
选项 A.直肠息肉 B.直肠癌 C.直肠腺瘤 D.直肠间质瘤 E.直肠淋巴瘤
答案 B
解析

猜你喜欢

发表评论
更多 网友评论0 条评论)
暂无评论

访问排行

Copyright © 2012-2014 恰考网 Inc. 保留所有权利。 Powered by tikuer.com

页面耗时0.0327秒, 内存占用1.03 MB, Cache:redis,访问数据库19次