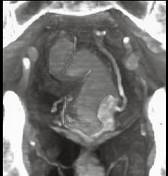
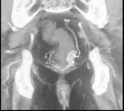
男,50岁,血便,大便形状改变,CT如图,应考虑为 ( )A.直肠息肉B.直肠内粪便C.直肠癌D.直肠腺瘤E.直肠淋巴瘤

作者: rantiku 人气: - 评论: 0
问题 男,50岁,血便,大便形状改变,CT如图,应考虑为 ( )
选项 A.直肠息肉 B.直肠内粪便 C.直肠癌 D.直肠腺瘤 E.直肠淋巴瘤
答案 C
解析

猜你喜欢

发表评论
更多 网友评论0 条评论)
暂无评论

访问排行

Copyright © 2012-2014 恰考网 Inc. 保留所有权利。 Powered by tikuer.com

页面耗时0.0401秒, 内存占用1.03 MB, Cache:redis,访问数据库19次