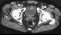
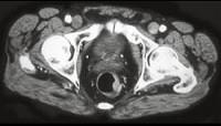
男性,41岁,血便,肛诊触及左侧直肠壁一质硬小结节,结合CT所见应考虑为 ( )A.直肠腺瘤B.直肠癌C.直肠息肉D.直肠转移瘤E...

作者: rantiku 人气: - 评论: 0
问题 男性,41岁,血便,肛诊触及左侧直肠壁一质硬小结节,结合CT所见应考虑为 ( )
选项 A.直肠腺瘤 B.直肠癌 C.直肠息肉 D.直肠转移瘤 E.直肠间质瘤
答案 B
解析

猜你喜欢

发表评论
更多 网友评论0 条评论)
暂无评论

访问排行

Copyright © 2012-2014 恰考网 Inc. 保留所有权利。 Powered by tikuer.com

页面耗时0.0418秒, 内存占用1.03 MB, Cache:redis,访问数据库20次