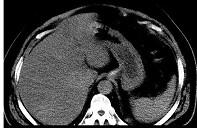
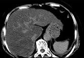
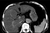
男,32岁,肥胖,常酗酒,肝肋下一横指,肝区轻微压痛,影像表现如图,应诊断为 ( )A.肝炎B.肝硬化C.脂肪肝D.肝豆状核变性 ...

作者: rantiku 人气: - 评论: 0
问题 男,32岁,肥胖,常酗酒,肝肋下一横指,肝区轻微压痛,影像表现如图,应诊断为 ( )
选项 A.肝炎 B.肝硬化 C.脂肪肝 D.肝豆状核变性 E.肝含铁血黄素沉着
答案 C
解析

猜你喜欢

发表评论
更多 网友评论0 条评论)
暂无评论

访问排行

Copyright © 2012-2014 恰考网 Inc. 保留所有权利。 Powered by tikuer.com

页面耗时0.0475秒, 内存占用1.03 MB, Cache:redis,访问数据库20次