女性,26岁,腹胀不适7月,腹软,肝右肋缘下1cm,影像检查如图,可能的诊断为 ( )A.肝血管瘤B.原发性肝癌C.肝硬化腹水...

作者: rantiku 人气: - 评论: 0
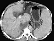
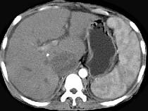
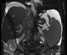
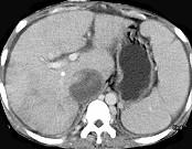
问题 女性,26岁,腹胀不适7月,腹软,肝右肋缘下1cm,影像检查如图,可能的诊断为 ( )
选项 A.肝血管瘤 B.原发性肝癌 C.肝硬化腹水 D.巴-希综合征 E.脂肪肝
答案 D
解析

猜你喜欢

发表评论
更多 网友评论0 条评论)
暂无评论

访问排行

Copyright © 2012-2014 恰考网 Inc. 保留所有权利。 Powered by tikuer.com

页面耗时0.0335秒, 内存占用1.03 MB, Cache:redis,访问数据库17次