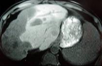
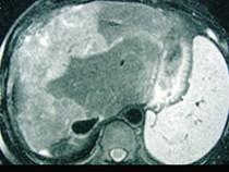
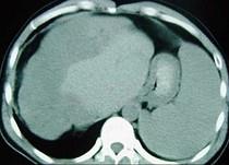
女性,72岁,腹胀不适1年,加重伴恶心、呕吐、乏力1个月,影像检查如图,最可能的诊断为 ( )A.肝硬化腹水B.原发性肝癌C.肝血...

作者: rantiku 人气: - 评论: 0
问题 女性,72岁,腹胀不适1年,加重伴恶心、呕吐、乏力1个月,影像检查如图,最可能的诊断为 ( )
选项 A.肝硬化腹水 B.原发性肝癌 C.肝血管瘤 D.巴-希综合征 E.局灶脂肪肝
答案 D
解析

猜你喜欢

发表评论
更多 网友评论0 条评论)
暂无评论

访问排行

Copyright © 2012-2014 恰考网 Inc. 保留所有权利。 Powered by tikuer.com

页面耗时0.0282秒, 内存占用1.03 MB, Cache:redis,访问数据库18次