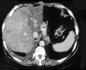
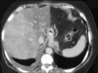
男,66岁,肥胖,有糖尿病史,CT检查如图,最可能的诊断是 ( )A.局灶性脂肪肝B.肝硬化肝癌C.肝血管瘤D.肝胆管细胞癌E.肝...

作者: rantiku 人气: - 评论: 0
问题 男,66岁,肥胖,有糖尿病史,CT检查如图,最可能的诊断是 ( )
选项 A.局灶性脂肪肝 B.肝硬化肝癌 C.肝血管瘤 D.肝胆管细胞癌 E.肝淋巴管瘤
答案 A
解析

猜你喜欢

发表评论
更多 网友评论0 条评论)
暂无评论

访问排行

Copyright © 2012-2014 恰考网 Inc. 保留所有权利。 Powered by tikuer.com

页面耗时0.0601秒, 内存占用1.03 MB, Cache:redis,访问数据库20次