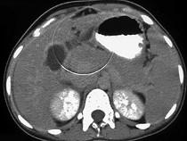
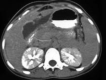
女,45岁,急性右上腹剧痛2小时,向右肩放射,影像检查如图,应诊断为 ( )A.急性胆囊炎B.慢性胆囊炎C.胆囊穿孔D.胆囊腺肌增生症...

作者: rantiku 人气: - 评论: 0
问题 女,45岁,急性右上腹剧痛2小时,向右肩放射,影像检查如图,应诊断为 ( )
选项 A.急性胆囊炎 B.慢性胆囊炎 C.胆囊穿孔 D.胆囊腺肌增生症 E.胆道梗阻
答案 C
解析

猜你喜欢

发表评论
更多 网友评论0 条评论)
暂无评论

访问排行

Copyright © 2012-2014 恰考网 Inc. 保留所有权利。 Powered by tikuer.com

页面耗时0.0305秒, 内存占用1.03 MB, Cache:redis,访问数据库19次