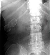
女,39岁,右上腹部隐痛,有慢性胆囊炎史,曾经做过口服胆囊造影,胆囊未正常显影,X线检查如图,最可能的诊断是 ( )A.急性胆囊炎B.慢性胆囊炎 ...

作者: rantiku 人气: - 评论: 0
问题 女,39岁,右上腹部隐痛,有慢性胆囊炎史,曾经做过口服胆囊造影,胆囊未正常显影,X线检查如图,最可能的诊断是 ( )
选项 A.急性胆囊炎 B.慢性胆囊炎 C.胆囊结石 D.瓷样胆囊 E.胆囊结核
答案 D
解析

猜你喜欢

发表评论
更多 网友评论0 条评论)
暂无评论

访问排行

Copyright © 2012-2014 恰考网 Inc. 保留所有权利。 Powered by tikuer.com

页面耗时0.0735秒, 内存占用1.03 MB, Cache:redis,访问数据库20次