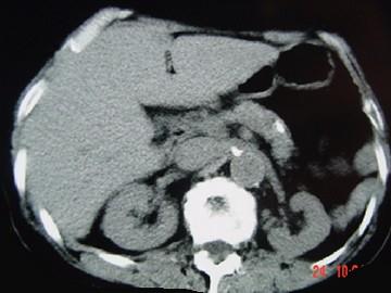
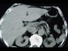
女,54岁,中上腹痛,体重减轻,消化不良,脂肪痢、便量多、泡沫状。影像检查如下图,最佳诊断是 ( )A.急性胰腺炎B.慢性胰腺炎C.胰腺癌...

作者: rantiku 人气: - 评论: 0
问题 女,54岁,中上腹痛,体重减轻,消化不良,脂肪痢、便量多、泡沫状。影像检查如下图,最佳诊断是 ( )
选项 A.急性胰腺炎 B.慢性胰腺炎 C.胰腺癌 D.急性出血坏死性胰腺炎 E.胰岛素瘤
答案 B
解析

猜你喜欢

发表评论
更多 网友评论0 条评论)
暂无评论

访问排行

Copyright © 2012-2014 恰考网 Inc. 保留所有权利。 Powered by tikuer.com

页面耗时0.0274秒, 内存占用1.03 MB, Cache:redis,访问数据库15次