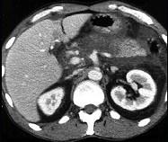
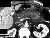
女,45岁,急性上腹部持续性疼痛,程度剧烈,放射到胸背部,恶心、呕吐,白细胞计数增高,血尿淀粉酶升高,影像所见如图,最可能的诊断是 ( )A.急性...

作者: rantiku 人气: - 评论: 0
问题 女,45岁,急性上腹部持续性疼痛,程度剧烈,放射到胸背部,恶心、呕吐,白细胞计数增高,血尿淀粉酶升高,影像所见如图,最可能的诊断是 ( )
选项 A.急性单纯性胰腺炎 B.急性出血坏死性胰腺炎 C.慢性胰腺炎 D.胰腺癌 E.胰腺脓肿
答案 B
解析

猜你喜欢

发表评论
更多 网友评论0 条评论)
暂无评论

访问排行

Copyright © 2012-2014 恰考网 Inc. 保留所有权利。 Powered by tikuer.com

页面耗时0.0320秒, 内存占用1.03 MB, Cache:redis,访问数据库19次