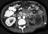
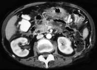
女性,34岁,寒战、高热、急性中上腹偏左腹痛,压痛,CT扫描如图,最可能的诊断是 ( )A.急性胰腺炎B.胰腺脓肿C.慢性胰腺炎急性发作 ...

作者: rantiku 人气: - 评论: 0
问题 女性,34岁,寒战、高热、急性中上腹偏左腹痛,压痛,CT扫描如图,最可能的诊断是 ( )
选项 A.急性胰腺炎 B.胰腺脓肿 C.慢性胰腺炎急性发作 D.胰腺癌 E.胰腺转移癌
答案 B
解析

猜你喜欢

发表评论
更多 网友评论0 条评论)
暂无评论

访问排行

Copyright © 2012-2014 恰考网 Inc. 保留所有权利。 Powered by tikuer.com

页面耗时0.0367秒, 内存占用1.03 MB, Cache:redis,访问数据库20次