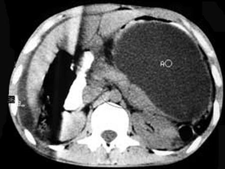
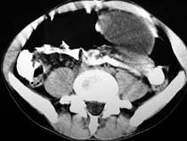
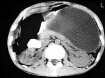
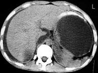
男,33岁,腹部外伤后两月余,腹部疼痛,行CT扫描所见如图,最可能的诊断是 ( )A.急性胰腺炎B.慢性胰腺炎C.胰腺创伤性假性囊...

作者: rantiku 人气: - 评论: 0
问题 男,33岁,腹部外伤后两月余,腹部疼痛,行CT扫描所见如图,最可能的诊断是 ( )
选项 A.急性胰腺炎 B.慢性胰腺炎 C.胰腺创伤性假性囊肿 D.畸胎瘤 E.腹腔包裹性积血
答案 C
解析

猜你喜欢

发表评论
更多 网友评论0 条评论)
暂无评论

访问排行

Copyright © 2012-2014 恰考网 Inc. 保留所有权利。 Powered by tikuer.com

页面耗时0.0408秒, 内存占用1.03 MB, Cache:redis,访问数据库18次