男,32岁,上腹部持续性疼痛,放射至胸背部,高热,恶心呕吐,上腹部压痛反跳痛,CT检查如图,最佳的诊断是 ( )A.急性单纯性胰腺炎B.出...

作者: rantiku 人气: - 评论: 0
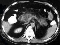
问题 男,32岁,上腹部持续性疼痛,放射至胸背部,高热,恶心呕吐,上腹部压痛反跳痛,CT检查如图,最佳的诊断是 ( )
选项 A.急性单纯性胰腺炎 B.出血坏死性胰腺炎 C.慢性胰腺炎 D.慢性胰腺炎急性发作 E.胰腺癌
答案 B
解析
发表评论
更多 网友评论0 条评论)
暂无评论

访问排行

Copyright © 2012-2014 恰考网 Inc. 保留所有权利。 Powered by tikuer.com

页面耗时0.0880秒, 内存占用1.03 MB, Cache:redis,访问数据库20次