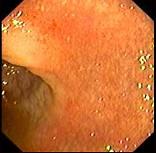
女性,26岁,反复排粘液血便,腹痛6年,便后腹痛可部分缓解,无里急后重感,无发热。胃纳较好;左侧腹有轻压痛,无反跳痛,肝脾不大。 肠镜如图,惯于本病的病理...

作者: rantiku 人气: - 评论: 0
问题 女性,26岁,反复排粘液血便,腹痛6年,便后腹痛可部分缓解,无里急后重感,无发热。胃纳较好;左侧腹有轻压痛,无反跳痛,肝脾不大。 肠镜如图,惯于本病的病理改变,正确的是 ( )
选项 A.病变呈节段性 B.多数在直肠和乙状结肠 C.常呈肠全层炎 D.活动期有大量中性粒细胞和嗜酸性粒细胞浸润 E.裂隙溃疡,呈缝隙状,可深达肌层
答案 BD
解析

猜你喜欢

发表评论
更多 网友评论0 条评论)
暂无评论

访问排行

Copyright © 2012-2014 恰考网 Inc. 保留所有权利。 Powered by tikuer.com

页面耗时0.0307秒, 内存占用1.03 MB, Cache:redis,访问数据库19次