男性,40岁,半年前因双下肢麻木、发凉、疼痛于外院诊断血栓闭塞性脉管炎,近1周腹痛、腹胀,以中下腹为著,呈阵发性加剧就诊,行CT增强扫描,如图所示 ( )...

作者: rantiku 人气: - 评论: 0
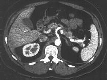
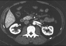
问题 男性,40岁,半年前因双下肢麻木、发凉、疼痛于外院诊断血栓闭塞性脉管炎,近1周腹痛、腹胀,以中下腹为著,呈阵发性加剧就诊,行CT增强扫描,如图所示 ( )
选项 A.胰头部略膨隆,内部密度不均。 B.门静脉及肠系膜肠系膜上静脉增宽。 C.门静脉及肠系膜静脉内见条形充盈缺损。 D.考虑为胰头癌。 E.考虑为门静脉及肠系膜内血栓形成。
答案 ABCE
解析

猜你喜欢

发表评论
更多 网友评论0 条评论)
暂无评论

访问排行

Copyright © 2012-2014 恰考网 Inc. 保留所有权利。 Powered by tikuer.com

页面耗时0.0419秒, 内存占用1.03 MB, Cache:redis,访问数据库18次