男性,50岁。消瘦、乏力半年,间断性上腹胀痛伴黑便2周。发育正常,体形消瘦,贫血外貌,皮肤无黄染,腹平坦,腹肌软,上腹偏右压痛,肝脾肋缘下未触及。低张气钡...

作者: rantiku 人气: - 评论: 0
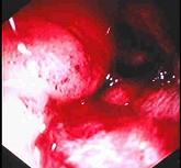
问题 男性,50岁。消瘦、乏力半年,间断性上腹胀痛伴黑便2周。发育正常,体形消瘦,贫血外貌,皮肤无黄染,腹平坦,腹肌软,上腹偏右压痛,肝脾肋缘下未触及。低张气钡双重造影示十二指肠降段肠壁僵硬,蠕动消失,肠腔不规则狭窄。胃镜检查如下图,下列正确的是 ( )
选项 A.十二指肠腺癌可能大 B.卓-艾综合征可能大 C.该病可导致黄疸 D.该病以中年人多见 E.该病首选手术治疗,无手术指征者可考虑放、化疗
答案 ACDE
解析

猜你喜欢

发表评论
更多 网友评论0 条评论)
暂无评论

访问排行

Copyright © 2012-2014 恰考网 Inc. 保留所有权利。 Powered by tikuer.com

页面耗时0.0341秒, 内存占用1.03 MB, Cache:redis,访问数据库19次