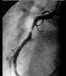
图中冠状动脉造影结果为 ( )A、右冠近端95%狭窄B、左冠前降支近端95%狭窄C、右冠远端95%狭窄D、左冠回旋支95%狭窄E、左主...

作者: rantiku 人气: - 评论: 0
问题 图中冠状动脉造影结果为 ( )
选项 A、右冠近端95%狭窄 B、左冠前降支近端95%狭窄 C、右冠远端95%狭窄 D、左冠回旋支95%狭窄 E、左主干近端95%狭窄
答案 A
解析

猜你喜欢

发表评论
更多 网友评论0 条评论)
暂无评论

访问排行

Copyright © 2012-2014 恰考网 Inc. 保留所有权利。 Powered by tikuer.com

页面耗时0.0417秒, 内存占用1.03 MB, Cache:redis,访问数据库20次