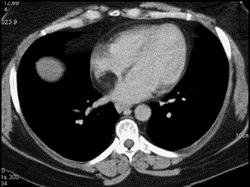
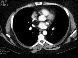
女性,40岁,活动后心慌一年余,彩超发现左心房有异常回声,CT检查如图所示,应考虑为 ( )A、正常左心房B、左心房脂肪瘤C、左心房血栓 ...

作者: rantiku 人气: - 评论: 0
问题 女性,40岁,活动后心慌一年余,彩超发现左心房有异常回声,CT检查如图所示,应考虑为 ( )
选项 A、正常左心房 B、左心房脂肪瘤 C、左心房血栓 D、左心房脂肪浸润 E、左心房粘液瘤
答案 B
解析

猜你喜欢

发表评论
更多 网友评论0 条评论)
暂无评论
错误啦!

错误信息

  • 消息: [程序异常] : MISCONF Redis is configured to save RDB snapshots, but it's currently unable to persist to disk. Commands that may modify the data set are disabled, because this instance is configured to report errors during writes if RDB snapshotting fails (stop-writes-on-bgsave-error option). Please check the Redis logs for details about the RDB error.
  • 文件: /twcms/kongphp/cache/cache_redis.class.php
  • 位置: 第 85 行
    <?php echo 'KongPHP, Road to Jane.'; ?>