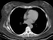
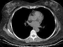
女性患者,60岁,心房纤颤史5年,彩超提示房间隔占位,CT示房间隔见一椭圆形低密度影,CT值约为一300HU,边缘清楚,首先考虑为 ( )A、房间...

作者: rantiku 人气: - 评论: 0
问题 女性患者,60岁,心房纤颤史5年,彩超提示房间隔占位,CT示房间隔见一椭圆形低密度影,CT值约为一300HU,边缘清楚,首先考虑为 ( )
选项 A、房间隔缺损 B、心脏转移瘤 C、淀粉样变 D、脂肪瘤 E、血栓
答案 D
解析

猜你喜欢

发表评论
更多 网友评论0 条评论)
暂无评论
错误啦!

错误信息

  • 消息: [程序异常] : MISCONF Redis is configured to save RDB snapshots, but it's currently unable to persist to disk. Commands that may modify the data set are disabled, because this instance is configured to report errors during writes if RDB snapshotting fails (stop-writes-on-bgsave-error option). Please check the Redis logs for details about the RDB error.
  • 文件: /twcms/kongphp/cache/cache_redis.class.php
  • 位置: 第 85 行
    <?php echo 'KongPHP, Road to Jane.'; ?>